crumii編集長・宋美玄のニュースピックアップ #41
妊婦健診の価格を全国で統一?超音波検査はどう扱われるのか
先週、こども家庭庁が妊婦健診の費用について全国で「標準価格」を示すという方針が報じられました。現在、妊婦健診は自費診療ですが、自治体の助成制度が地域ごとに異なっており、地域や医療機関によって妊婦さんの自己負担額に差が生じている問題をどうにかしたいというもののようです。国が標準価格を示すことで、医療機関がそれに合わせるよう期待する、という内容です。
ニュースはこちら
https://www.yomiuri.co.jp/medical/20260106-GYT1T00423/
妊婦健診の費用負担軽減、料金の見える化は重要
妊娠・出産に伴う経済的負担を軽減し、どの医療機関でいくらかかるのか知った上で医療を受けられるようにすることは必要です。また、自己負担の地域差が小さくなること自体は望ましい方向性だと思います。一方で、価格の「標準化」が提供される健診の質や、妊婦さんの安心感などに影響しないかという点は慎重に検討されるべきです。
厚生労働省が示す妊婦健診の必須項目は、母体の健康管理が中心です。血圧測定、尿検査、体重測定、腹囲や子宮底長、胎児心拍の確認、保健指導や相談が基本となり、時期に応じて感染症や貧血、血糖などの検査が追加されます。厚労省のwebサイトの標準的な妊婦健診の例を見ても、妊婦健診が本来「母体合併症の早期発見」を主軸に置いていることは明確です。

出典:厚生労働省HP「妊婦健診」 https://www.mhlw.go.jp/bunya/kodomo/boshi-hoken13/dl/02.pdf
しかし、現実の妊婦健診に期待されているのは母体管理にとどまりません。胎児発育、元気かどうかの評価、胎盤位置、羊水量、胎位などを評価し、母体のみならず胎児のリスク兆候を拾い上げることも重要です。
超音波検査の価格と内容の評価が大ざっぱになっている
妊娠初期から後期にかけ、中心となる手段に超音波検査があります。厚労省の同資料では、胎児エコーは妊娠中を通じて4回とされ、妊娠6か月までに2回、妊娠7〜9か月に1回、妊娠9か月以降に1回とされています。標準化が進むことで、医療機関の提供がこの回数・内容に事実上制限され、追加の観察を行なっても不採算となってしまい行いにくくなる可能性が出てきます。
通常の妊婦健診で行われる「一般超音波検査」は、赤ちゃんの推定体重の計測、羊水量の評価、胎動、胎位(赤ちゃんの姿勢)、胎盤の位置、子宮口の状態評価などを含みます。目的は胎児発育の評価やwell-beingの評価、前置胎盤や切迫早産徴候の確認などで、母子ともに健康に出産に至るためには絶対に必要な検査です。
ところが、自治体からの超音波検査に対する補助額は、多くの地域で1回あたり約5000円程度となっており、私が研修医だった20年以上前からあまり増額されていません。今回の標準価格の報道を見ても同程度の額が想定されているようですが、日々妊婦健診に携わる医療提供側の感覚としては低い設定だと言わざるを得ません。
婦人科領域で子宮・卵巣を評価する超音波検査(経腟超音波)の保険点数(保険診療の価格設定)も概ね同じような額ですが、胎児計測は測定項目が多く、胎児の体位や動きに影響され、一般的に婦人科の超音波検査よりも所要時間や手間は妊婦健診の超音波検査の方がボリュームが大きいと感じます。妊婦健診における超音波検査の評価は見合っていないと感じている産科医が多いのではないでしょうか。
妊婦健診の超音波検査は国際的なガイドラインに比べ簡素な内容
さらに知っていただきたいことは、妊婦健診の超音波検査として想定される内容が、国際的な胎児スクリーニングと比べると簡素である点です。
ISUOG(国際超音波産科婦人科学会)のガイドラインでは、妊娠11〜14週の初期スキャンと、妊娠18〜24週の中期形態スキャンをルーチン検査として位置づけ、評価項目を具体的に示しています。
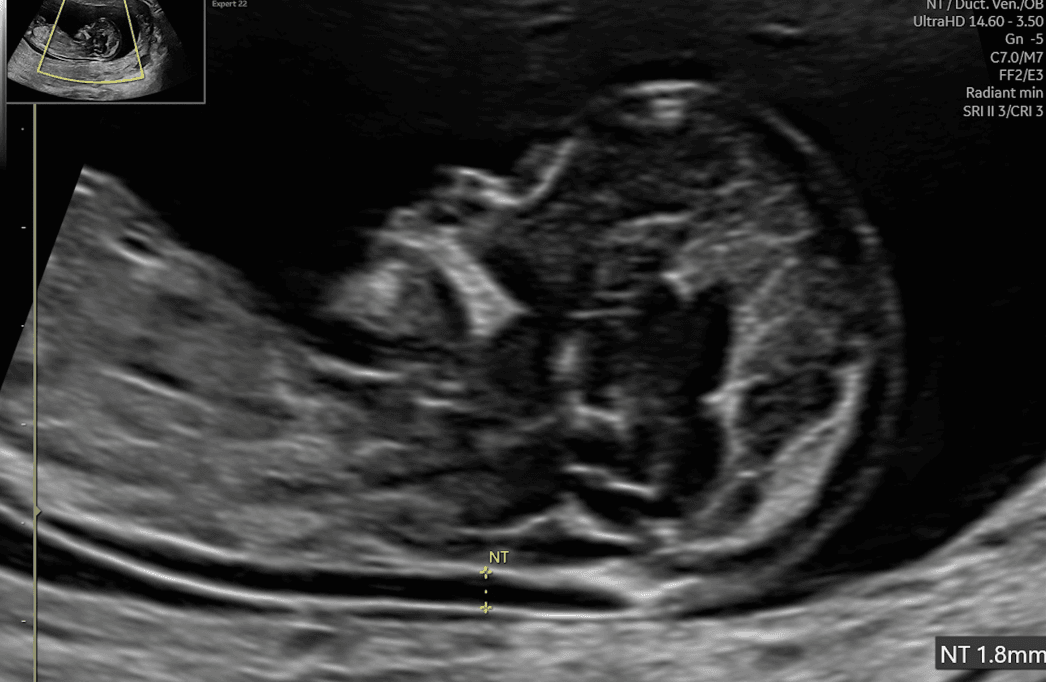
まず初期(妊娠11〜14週)の超音波では、妊娠の生存確認、胎児数の確認、妊娠週数の決定(特にCRL(頭殿長)測定)を行い、多胎であれば絨毛膜性・羊膜性を判定します。また、子宮や付属器、子宮頸部を含む母体側の評価、胎盤位置の確認、さらに妊娠初期に認めうる重大な形態異常の拾い上げも含まれます。必要に応じてNT(後頸部透亮像)の測定など、染色体異常リスク評価に関連する計測も同時期に実施されます。

超音波検査でみる赤ちゃんの姿:丸の内の森レディースクリニック提供
次に中期(18〜24週)のルーチン胎児超音波は、いわゆる「形態スクリーニング」の中心です。ISUOGはこの時期のスキャンで、胎児のバイオメトリー(BPD、HC、AC、FLなど)による発育評価に加え、胎児解剖を系統的に確認することを推奨しています。具体的には、頭蓋・脳(側脳室、後頭蓋窩など)、顔面、頸部、脊椎、胸部、心臓(四腔断面や流出路評価を含む心臓スクリーニング)、腹部(胃、腎、膀胱、腹壁)、四肢の確認などが含まれます。さらに胎盤位置、臍帯付着、羊水量、子宮頸部など、周辺環境の評価も重要項目として扱われます。
妊婦健診に「出生前検査」は原則含まれていないことの周知が必要
このようにISUOGのガイドラインは、同じ超音波検査と言っても、日本の妊婦健診に標準的に含まれる内容よりもかなり詳しいものになり、専門的な技量を要するものになっています。日本の妊婦健診は、母体管理としては諸外国と比べて手厚く設計されていますが、胎児スクリーニングとしては国際基準と比べると薄くなっているというか、むしろ胎児の異常を発見することは含んでいないのです。
妊婦健診を全国で標準化するという議論をするなら、出生前検査との関係も妊婦さんたちに分かりやすく整理する必要があると思います。(もちろん、明確に区別されるものではなく、妊婦健診でも胎児の異常所見を見つける可能性があり、超音波検査を行うこと自体が出生前検査になりうることも理解しておく必要があります)
国際的なスクリーニングのような精度で胎児形態評価を行うことが求められる場面では、妊婦健診の枠内ではなくオプションとして位置付けられることになるでしょう。その際、妊婦さんが「妊婦健診で分かる範囲」と「追加検査が必要な範囲」を理解できるよう、国や自治体が丁寧に周知する必要があります。さらに、その追加検査への費用助成がほぼ行われておらず、議論すらされていない点も課題です。
標準価格を示すこと自体は、妊婦さんの負担軽減という意味で意義があります。しかし、価格固定だけが先行すると、医療の質や妊婦さんの満足度、家族を含めた愛着形成が置き去りになる懸念があります。(超音波検査がなければパパが健診に同伴するモチベーションが減るのでは、と思います)

赤ちゃんを迎えるご夫婦にとって、赤ちゃんの元気な姿を超音波で見るのは楽しみのひとつでもある
「標準化」もいいけれど
自己負担の地域差を問題視するのであれば、自治体ごとに地域事情に応じた上乗せ補助を行うことも検討すればいいのではと思います。東京都では卵子凍結、無痛分娩に加え、不妊治療に対し補助を行うと報道されていますが、妊娠してから出産に至るまでの医療費を補助することも検討してくれてもいいのではないでしょうか。
妊婦健診に求められることは、「費用負担なく受けられること」だけではなく、妊婦さんが安心して妊娠生活を送り、必要な医療を適切なタイミングで受けられることが本質です。今回は超音波検査について取り上げましたが、標準化を進めるのであれば、超音波検査以外のものも含めて健診内容の価値を適切に評価し、妊婦さんが受ける医療の質を維持できる制度設計を整えることが不可欠です。
crumiiでは、妊婦さんたちにとって本当に良い制度になっていくか、注視していきたいと思います。
参考文献
https://www.mhlw.go.jp/bunya/kodomo/boshi-hoken13/dl/02.pdf
https://www.isuog.org/static/f465db45-655c-42eb-96a196bcd2d34547/ISUOG-Practice-Guidelines-Updated-performance-of-11-14-week-ultrasound-scan.pdf
https://www.isuog.org/static/4e2ed89e-fa8a-42c2-9c0929cd89cb58ff/ISUOG-Practice-Guidelines-routine-mid-trimester-fetal-ultrasound.pdf
















